關於經顱聚焦超音波
超音波在醫學與工業領域已廣泛應用超過70年(Fry 1958; Rezayat 2016; Darrow 2019),其原理是將機械能量(聲波)傳遞至組織。
作為神經調控技術的超音波,主要依據聲波強度(空間峰值時間平均強度 [SPTA])分為兩大類別:高強度聚焦超音波(HIFU)強度通常 >1 W/cm²,能透過熱燒灼產生可靠且永久性的腦部病灶;而低強度聚焦超音波(LIFU)不會產生病灶,但可興奮或抑制神經活動,且極少發生不良反應(Pasquinelli 2019)。
雖然 HIFU 已於2016年獲得美國食品藥物管理局(FDA)批准用於本態性顫抖,且其他適應症的批准似乎即將到來,但針對 LIFU 臨床效用的系統性研究在近期才開始(Truong 2021)。
經顱聚焦超音波(tFUS)是一種 LIFU 技術,其特徵為長脈衝列(數百毫秒),已被證實能同時增強與抑制神經活動(Bystritsky 2011; Bystritsky 2015),並改變哺乳動物腦部的行為表現(Fomenko 2018)。tFUS 的低能量低於誘發組織損傷的閾值,常使用接近或低於診斷性超音波的強度。
系統組件
BrainSonix 系統包含超音波主控台(刺激器)、具突破性「夾持」機制的換能器、換能器固定架,以及耦合墊。
該系統完全組合(即外殼與監視器一體),可攜帶並可以於檯面操作。刺激器內含一體化電腦與超音波驅動產生器。超音波驅動電壓透過前面板的 BNC 埠提供。輸入所需的照射參數(壓力、平均強度、脈衝長度、脈衝重複頻率、照射持續時間、照射間隔時間,以及照射次數)後,系統會自動計算達成這些設定的所需電壓(Schafer 2021)。
提供四款不同規格的圓形單元件球面聚焦換能器,孔徑均為 61 mm。標稱焦距分別為 35、55、65 及 80 mm,用於針對腦部不同區域。換能器前端採用輕微凸面層,以達到最佳阻抗匹配。換能器固定架將換能器牢固固定於頭部顳窗上方。可調整角度與線性位移,以精確對準目標結構。可以透過光纖輸入線及光隔離數位訊號線(TTL)達到MR 同步,亦可透過 TTL 或光學訊號進行EEG 同步。
![]() |
最先進的校準、可重現操作,以及毫不妥協的安全性
校準過程的主要目標是確保預期的超音波照射能夠以可重複且一致的方式提供。BrainSonix 系統採用最先進的校準技術,讓實驗者能夠專注於臨床研究,而無需擔心可重現性(Schafer 2021)。具體而言,該過程針對每一台刺激器,結合系統提供的特定換能器、電纜及射頻濾波器進行校準。校準設定儲存於檔案中,並可用於事後刺激驗證。
在準備刺激療程時,首先會擷取校準數據。系統首先要求使用者確認換能器序號及電纜配置。接著,系統從校準檔案數據中取得聲學輸出特性。接下來,使用者輸入所需的刺激參數。根據研究協議設定的聲學輸出限制,系統自動判斷輸入的治療參數是否超出限制。若參數未調整至符合輸出限制,系統將不允許進入刺激啟動步驟。
經認證、驗證的技術,在監管機構擁有豐富的應用記錄
BrainSonix 裝置已在多項臨床試驗中經過嚴格驗證。該系統已從美國 FDA 取得多項研究用裝置豁免(IDE)及非重大風險(NSR)函件。該系統通過 IEC 電氣安全及電磁相容性(EMC)認證。
經驗證與 fMRI 的相容性
對於任何經顱聚焦超音波(tFUS)系統而言,MR 相容性通常相當複雜,因為換能器含有導電材料。BrainSonix 換能器特別設計內含 MRI 透光定位標記材料,並經驗證可在 3T MRI 環境中安全運作。具體而言,已證實在 128 MHz 頻率下與掃描器射頻發射及接收線圈無交互作用(Korb 2014)。換能器透過 MR 條件相容電纜連接,並經由牆壁濾波器連至刺激器主控台。提供的換能器固定架為 MR 安全設計,可實現簡單且穩固的定位與角度調整。MR 同步透過光纖輸入線及光隔離數位訊號線(TTL)提供,允許同步進行 MRI 擷取。
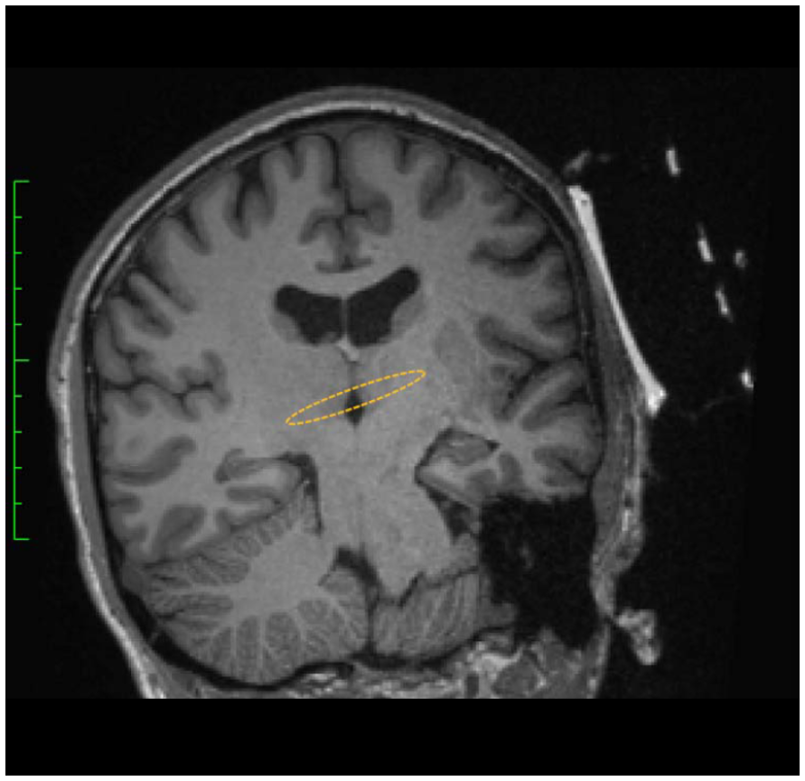
下方左側圖像顯示換能器定位標記的 MRI 影像。
下方中間圖像顯示對齊過程。
下方右側圖像顯示焦區的大約位置(黃色橢圓)(Schafer 2021)。
![]() |
![]() |
![]() |
唯一經證實的假刺激 / 安慰劑解決方案
換能器會產生可聽見的聲音以及可察覺的振動,這使得在經顱聚焦超音波(tFUS)試驗中實現盲法成為重大干擾因素。2023 年,BrainSonix 團隊開發出一組特殊匹配的聲學耦合墊,可選擇通過或阻擋超音波波束(專利申請中)。這些墊片在外觀上對受試者與操作者均完全相同。墊片的真實屬性可根據臨床研究計劃,向獨立研究協調員或統計分析師揭露。
神經導航整合
在經顱聚焦超音波(tFUS)中,神經導航追蹤通常至關重要,用以確認焦區是否確實位於預定腦靶點。BrainSonix 裝置已驗證可與磁性或光學追蹤系統相容。目前已有整合方案可與 Localite、BrainSight 及 Visor 2 神經導航系統搭配使用。
Soterix Medical tFUS + Localite
Soterix Medical 的 BrainSonix tFUS 系統可與 Localite 導航系統結合,提供無縫的導航體驗。
![]() |
![]() |
Soterix Medical tFUS + BrainSight
Soterix Medical 的 BrainSonix tFUS 系統可與 BrainSight 導航系統配對,提供完全整合的導航解決方案。
![]() |
![]() |

Soterix Medical tFUS + Visor2
Soterix Medical 很榮幸宣布與 ANT Neuro 合作,利用其 Visor2 系統提供導航式 tFUS 解決方案。


參考文獻
- Production of reversible changes in the central nervous system by ultrasound. Science. 1958;127:83–84. Fry FJ, Ades HW, Fry WJ.
- A review of low-intensity focused ultrasound pulsation. Brain Stimul. 2011 Jul;4(3):125-36. Bystritsky A, Korb AS, Douglas PK, Cohen MS, Melega WP, Mulgaonkar AP, DeSalles A, Min BK, Yoo SS.
- Low-intensity focused ultrasound pulsation device used during magnetic resonance imaging: evaluation of magnetic resonance imaging-related heating at 3 Tesla/128 MHz. Neuromodulation. 2014 Apr;17(3):236-41; discussion 241. Korb AS, Shellock FG, Cohen MS, Bystritsky A.
- A Review of Low-Intensity Transcranial Focused Ultrasound for Clinical Applications. Curr Behav Neurosci Rep 2, 60–66 (2015). Bystritsky, A., Korb, A.S.
- A Review on Brain Stimulation Using Low Intensity Focused Ultrasound. Basic Clin Neurosci. 2016 Jul;7(3):187-94. Rezayat E, Toostani IG.
- Focused Ultrasound for Neuromodulation. Neurotherapeutics. 2019 Jan;16(1):88-99. Darrow DP.
- Safety of transcranial focused ultrasound stimulation: A systematic review of the state of knowledge from both human and animal studies. Brain Stimul. 2019 Nov-Dec;12(6):1367-1380. Pasquinelli C, Hanson LG, Siebner HR, Lee HJ, Thielscher A.
- Design, Development, and Operation of a Low-Intensity Focused Ultrasound Pulsation (LIFUP) System for Clinical Use. IEEE Transactions on Ultrasonics, Ferroelectrics, and Frequency Control. 2021 Jan;68(1):54-64. Rezayat E, Toostani IG.
- Comparison of Transcranial Focused Ultrasound and Transcranial Pulse Stimulation for Neuromodulation: A Computational Study. Neuromodulation. 2022 Jun;25(4):606-613. Truong DQ, Thomas C, Hampstead BM, Datta A.
- Transcranial ultrasonic stimulation of cerebellar fastigial nucleus: First-in-Human feasibility study. Brain Stimulation, 2025, 18(5), 1663–1666. Bahr-Hosseini, M., Spivak, N. M., Hopkins, A. R., Cisneros, S., Hanuscin, C., Saha, A., Gilbert, J., Schafer, S., Schafer, M. E., Liebeskind, D. S., Monti, M. M., & Saver, J. L.
*本產品為研究設備,只用於研究用途
點此查看更多Soterix Medical 相關產品







